Your browser is out-of-date!

Update your browser to view this website correctly. Update my browser now

×

Cardiology Case Stu...
 
Notifications
Clear all

Cardiology Case Study: CKCS with degenerative mitral valve disease undergoing GA for dental

4 Posts
1 Users
0 Reactions
6,086 Views
Posts: 4
Admin
Topic starter
(@charlotte-pace)
Member
Joined: 1 year ago

Poppy is an 8 year old female neutered Cavalier King Charles Spaniel. At her most recent annual check, the veterinary surgeon recommended a dental. On this examination, it was noted that she had a grade IV left apical systolic heart murmur. This was a grade louder than last year, when a grade III murmur was recorded. Her exercise tolerance is good.

She has presented to you for admit. What would you like to recommend next and why?

  • Assist with the GA, no change in protocol
  • Carry on with the GA, but make some protocol changes
  • Assist with a full cardiac examination (echo, ECG, thoracic radiographs, bloods)
  • Perform echo only before GA
  • Tell the owner it is too dangerous to proceed
3 Replies
Posts: 4
Admin
Topic starter
(@charlotte-pace)
Member
Joined: 1 year ago

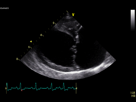
The owners are limited in what they can spend, and so they agree to an echo only. The echo confirms the suspicions of degenerative mitral valve disease (DMVD). Left atrial enlargement and left ventricular dilation is recorded. This puts Poppy in the American College of Veterinary Internal Medicine (ACVIM) stage B2 class.

What is the American Society of Anaesthesiologists) ASA grade?

What are your pre-operative checks?

Reply
Posts: 4
Admin
Topic starter
(@charlotte-pace)
Member
Joined: 1 year ago

What anaesthetic protocol would you use?

Would you recommend intravenous fluid therapy  (IVFT)?

Reply
Posts: 4
Admin
Topic starter
(@charlotte-pace)
Member
Joined: 1 year ago

Poppy’s dental is routine. She has multiple teeth removed, and additional pain relief was necessary, therefore ketamine was given to effect (1mh/kg/IV). Her blood pressure whilst anaesthetised averaged at 96mmHg, her heart rate after ketamine was around 100 beats/min, respiration rate averaged at 8 breaths/minute. As well as the usual post op instructions for a dog recovering from a dental, the owners were shown how to count sleeping respiratory rate.

Reply
Share: